
At Glow Dent, we follow international dental protocols and advanced sterilization systems to ensure maximum safety and consistent, high-quality results. Our clinic in Albania is trusted by both local patients and international dental tourists seeking reliable and affordable care.

Our team of skilled dentists combines years of experience with the latest technology to deliver exceptional results—from routine check-ups to complex treatments like dental implants and cosmetic dentistry. We proudly serve patients from Albania, Italy, Germany, Spain, and beyond.
Discover a full range of modern dental treatments designed to improve your smile, oral health, and confidence. At Glow Dent, we combine advanced technology with affordable care—making us a trusted dental clinic in Albania for both local patients and international visitors.
Transform your smile with veneers, bonding, and complete smile makeovers designed for natural, long-lasting results.
Gentle and preventive dental care for children, focused on healthy development and stress-free visits.
Permanent and reliable solutions for missing teeth using high-quality implants and advanced techniques.
Achieve a brighter, whiter smile quickly and safely with our professional teeth whitening treatments.

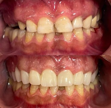
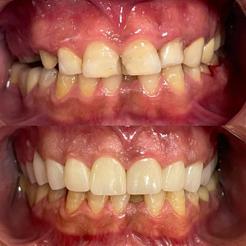
Complete smile transformation using high-quality porcelain veneers to correct discoloration, shape, and alignment for a brighter, natural-looking smile.

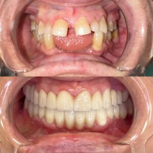
Advanced restoration of multiple missing and damaged teeth using dental implants and fixed prosthetics, improving both function and aesthetics.

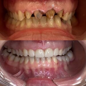
Correction of damaged and missing front teeth to restore a natural appearance and improve the patient’s confidence when smiling.

Comprehensive treatment addressing worn and damaged teeth, restoring oral health and rebuilding a functional, balanced smile.

Combination of whitening and cosmetic treatments to enhance tooth color, symmetry, and overall smile aesthetics.

Complete smile rehabilitation using dental implants and crowns to replace missing teeth and achieve long-lasting, natural results.
At Glow Dent, we are committed to providing personalized, high-quality dental care for patients of all ages. From routine check-ups to advanced treatments, our goal is to ensure every patient feels comfortable, informed, and confident in their smile.
Our modern clinic in Albania combines the latest dental technology with a patient-focused approach, making us a trusted choice for families locally and for international patients seeking safe, affordable, and professional dental care.